Today we’d like to introduce you to LaDonna Kleinhans.
LaDonna, we appreciate you taking the time to share your story with us today. Where does your story begin?
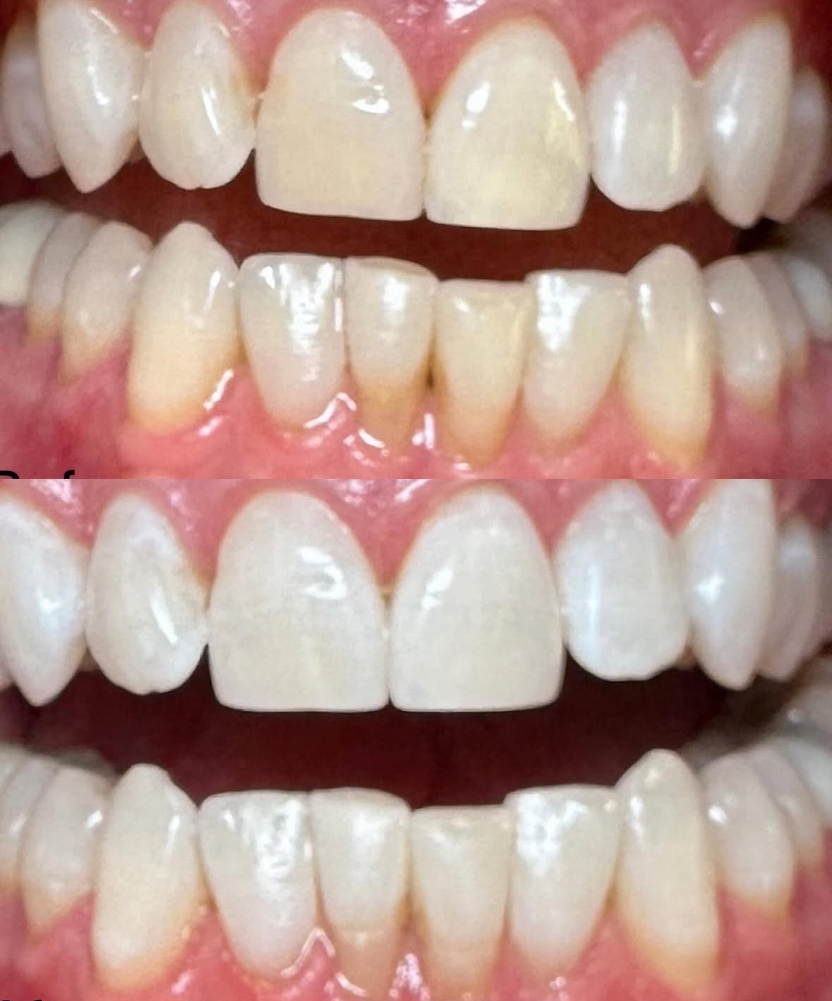
I launched The Whitening Atelier in January 2025. One of the most special parts of my journey is that my suite is located right next door to my husband’s barbershop. As a new business owner, having him beside me every day—encouraging me, motivating me, and teaching me the business side of things—has been one of the most valuable parts of this experience. We get to grow our businesses side-by-side, support each other, and build something meaningful for our community. It’s a blessing to be able to pour into my clients’ confidence while being surrounded by that same support myself. After spending years as a dedicated dental hygienist. Working chairside over 12yrs taught me something important: every person deserves to feel confident in their smile. I loved helping patients experience that transformation, and I wanted to bring that same level of quality care outside the traditional dental office and into a space of my own. I still practice hygiene 3days a week.
Starting my business was really about staying connected to what I love most—hygiene, patient care, and elevating the confidence of every client who walks through my door.
We all face challenges, but looking back would you describe it as a relatively smooth road?
One of the toughest parts of growing my business has definitely been marketing and maintaining steady bookings. I’m not a social media expert, and that type of content-driven marketing doesn’t come naturally to me, so it’s an area where I know I’ve had to push myself. Running a business today requires a strong online presence, and balancing that with actually serving clients can be challenging. But it’s also taught me a lot—how to be more consistent, how to show up even when it’s uncomfortable, and how important it is to connect with people beyond just the treatment chair.”
Can you tell our readers more about what you do and what you think sets you apart from others?
I specialize in professional teeth whitening backed by 12 years as a dental hygienist and 20 years in dentistry. My goal is always to deliver safe, effective results with the same level of care clients would receive in a dental office, but in a more comfortable and luxurious setting.
A big part of what sets me apart is my commitment to oral health first. I won’t whiten if someone’s gums or teeth aren’t healthy. If I see signs of gum disease or decay, I educate them and refer them to a dentist before moving forward. That honesty and clinical expertise gives my clients peace of mind.
I’m most proud of the trust my clients place in me. Many come in feeling insecure about their smile and leave feeling confident and refreshed. Creating that transformation—and doing it safely and ethically—is truly the best part of my work.”
What do you like best about our city? What do you like least?
“I grew up in Savannah—C-Port!—so this city will always feel like home to me. What I love most is the culture. Savannah has such a rich mix of history, community, and personality, and it’s been amazing to see how much the city has grown and developed over the years. There’s a unique charm here that you just can’t find anywhere else.
There really isn’t much I dislike, but if I had to choose one thing, it would be the lack of spotlight on small, local businesses—especially in the health and beauty space. We have so many talented entrepreneurs in this city, and I would love to see more visibility and support for the work we’re doing.”
Pricing:
- 1hr session $300
- 40 min touch up session: $150
Contact Info:
- Website: https://thewhiteningatelier.com
- Instagram: @thewhiteningatelier
- Facebook: The whitening Atelier





